前两天刚写了篇牙齿漂白的文章,反响不错。 其实除了牙齿漂白,作为牙医,我们还可以为大家提供牙齿瓷贴面、全瓷冠等技术方案,想要多白有多白,什么好莱坞白、天然通透白都可以有,但这些技术毕竟不能随便应用,要非常的慎重!
我今天想回归到一个更基本的问题,如何通过日常护理让牙齿健康的美白。
NO.1牙白就够了吗?健康的美白才是王道!
知乎上曾经回答过这样一个问题。
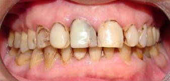
为什么说要健康的美白?经常看到漂亮姑娘精致妆容,可一张嘴牙龈血红血红的,牙上明显有很多污垢色素。在鲜艳唇彩的映衬下格外引人注目,造成了“西红柿炒鸡蛋”的效果。
而之所以有这样的“槽点”,主要是因为口腔不够健康,“牙龈红肿”是因为刷牙没刷干净,病菌刺激下牙龈发炎;“牙齿有污垢色素”,是因为刷牙没刷干净,细菌及食物中的色素在牙面上累积造成的。可见,想要健康的美白也不难,把牙刷好就行了。
只有做好了日常的清洁,牙齿的美丽才是“可持续发展的”。否则,即使花了大价钱,找很厉害的牙医做了很好的前牙美学修复治疗,它的效果也只会是昙花一现。
所以现在的大牛专家都会提红(牙龈)白(牙齿)美学的概念,也就是不光牙齿美白,还有牙龈的健康。
所以我想说,牙龈还在红肿出血的朋友,就先别着急漂白了,出血本身也会造成牙齿的着色,有牙结石不断刺激,牙龈就会反复红肿出血,洗洗牙就全搞定了。所以每半年到一年就应该洗一次牙。关注我的公众号爱牙护齿,回复洗牙了解更多信息,我这就不啰嗦了。
NO.2 什么是牙齿抛光?划重点!!
刚洗完的牙,里里外外,干干净净。但能坚持多久呢?烟鬼通常仨月就得再回来。喝咖啡、红酒和浓茶都会让牙齿容易染色。还有如果牙龈和牙缝刷不干净,很快牙龈出血也又回来了。
作为医生,我们会在给患者洗完牙后给牙面仔细抛光,让牙齿光滑,不易粘色素。我们用到的工具主要是抛光杯和抛光膏。
(请忽略北大口腔沧桑的慢速机头)
抛光杯是个橡皮杯,放在慢速机头上,慢速转动,用来抛光牙面的,使牙齿表面更加光洁,再配合上磨砂感比牙膏更粗些的抛光膏使用,还可以去除牙齿表面的色素。抛光膏被限制在抛光杯与牙面之间,与牙面摩擦,使牙面光滑。但很明显,抛光杯不容易达到牙龈沟和牙缝等细小的部位,所以我也可能配合使用抛光刷,就是个超级小刷子。洗牙当然不能天天洗,但抛光的这个过程有个东西可以在家试试。
觉不觉得这个东西很眼熟,中间的简直就是个医用抛光杯,四周的就像排成一排的毛刷。而且也是可以转的。这个是欧乐B电动牙刷的一款美白刷头。配合上欧乐B的旗舰款电动牙刷的抛光模式,就是转速从低-高-低的循环往复,很像牙医给患者抛光是用慢速的感觉:先低速下对准,再高速抛光,然后再低速下对准另一个牙面。。。。。。这样也能保证低速时刷头上的牙膏不会被甩出去。
NO.3 为什么还有人不用电动牙刷?
“时至今日,除了经济原因,我想不到一个人为什么还会不选择电动牙刷。”
这是今年在一次口腔医学的国际会议上我听到的一句话,非常简单粗暴的说出了我心中的想法。是啊,为什么还有人不用电动牙刷呢?怕电动牙刷刷不干净?
电动牙刷和手动牙刷在效率上的区别就好比是洗衣机和搓衣板,一个是每秒钟能刷3-5下的手臂,一个是每秒驱动刷毛摆动两三百次的电机,从效率和效果上肯定是电动牙刷吊打手动牙刷啊。而且这一结论已经被各种科学实验无数次的证实,谦虚一点的说法是电动牙刷至少可以比手动牙刷清除多一倍的牙菌斑。即使用非常正确的刷牙方法,手动牙刷要刷6分钟以上,才能达到电动牙刷2分钟的刷牙效果。
而且用手动牙刷的技术“门槛”其实要比电动牙刷更高,刷毛斜45度放置在牙齿和牙龈交界的位置,轻轻地水平震颤,幅度不宜超过一颗牙。。。。。。这是挺不容易掌握和坚持的一个动作。而电动牙刷在刷头设计时就充分考虑了这个因素,你只要把杯状的小圆刷头放在牙面上,它的直径刚好包裹住一颗牙,而且在刷毛的前后左右摆动下,不管是牙龈沟还是牙齿和牙齿间的转角位置,都会刷得很到位。
毕竟电动牙刷早期就是为了手部运动不那么灵活的人群发明的,后来才被懒人(聪明人)们用在日常生活中(懒是人类的第一生产力!)。
看到这是不是就剩一个问题了?“许大夫我该买哪款电动牙刷?”
我换个角度回答你:我在用什么。我之前用的是欧乐 B的上一代旗舰D36(左边那个黑的),最近新换了它的接班新款(右边的玫瑰金)。一贯机械感十足的欧乐B最近竟然也出了玫瑰金的配色,这个颜色最大的问题就是太好看,我有种预感,这支牙刷最终可能会被抢走,我可能还是要用回黑色的。。。。。。
这次的改款并不只是换个壳改个颜色,而是欧乐 B 终于又回到了做一把好牙刷的初衷,为什么这么说,因为纵观过往的三代旗舰:D32、D36和9000,前两代旗舰在牙刷的清洁能力上是完全一样,D36和 D32的最大区别是引入了对手机 APP 的支持,而这次的玫瑰金9000则是一次大改款,一上手就能感受到明显的区别。
首先是轻了,刷牙这种精细运动,能轻上哪怕一点都会舒服不少。具体轻多少我也没量,但感觉是挺明显的。
其次,续航能力有了极大提升,应该是换了锂电池了,之前我问过欧乐 B的研发人员,为什么一直用镍氢电池,他们说是为了兼顾放电效率和安全。现在看来锂电池终于是让他们在技术上放心了。前几天我们一家人出去玩了5天,两个人每天刷两次,电量还是显示三格满的,令人非常安心。
第三,声音和震动也有了明显改善,这也是很多人不接受电动牙刷的重要原因,感觉上好像特别猛。我也问过德国人,他们说这是主要由于刷头除了左右摆动,还有一个前后震动,有点震感是难免的,而且他们还觉得:“这不是正好说明我们的牙刷刷得干净吗?”德国人的脑洞也是清奇。这次肯定是电机上有了什么改变,还是那个风格,声音小了些,细密了一些,也没有那么抖动了,但就好像四缸车变成了六缸车。
剩下还有一些小改动,比如整体的体积有略微的缩小,比如把压力感应的提示灯变成了360度环形,比如增加了握持部位的硅胶面积,比如改变了刷柄和刷头的角度,相信都会让大家的使用感受上有那么一点点的变化。不变的是,仍然德国原厂生产。
配件中包括了上面提到的带有抛光杯的美白刷头,还是粉色的,为了女性用户欧乐 B 这次真的还挺用心的。希望姑娘们都能牙齿洁白,牙龈健康!
所以,牙齿美白,还有什么是可以自己做的? 买把好点的电动牙刷吧:)

已解决